What Does Inflammatory Breast Cancer Look Like On Ultrasound - Plos One Incidence Of Inflammatory Breast Cancer In Patients With Clinical Inflammatory Breast Symptoms : Inflammatory breast cancer is an uncommon form of breast cancer but is very aggressive.
Dapatkan link
Facebook
X
Pinterest
Email
Aplikasi Lainnya
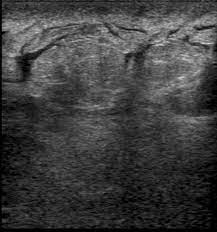
What Does Inflammatory Breast Cancer Look Like On Ultrasound - Plos One Incidence Of Inflammatory Breast Cancer In Patients With Clinical Inflammatory Breast Symptoms : Inflammatory breast cancer is an uncommon form of breast cancer but is very aggressive.. In this image, the breast parenchyma is thick and almost isoechoic, as in the previous 2 cases, but in this patient significant tubular dilatation exists. Your outlook depends on many things, like your overall health, the. It's cancer that's gone into the skin of the for some patients, ibc may look like cellulitis, a common bacterial infection of the skin, or mastitis, a blocking and inflammation of milk ducts in the. Like any other cancer, breast cancer can be divided into stages depending on how much the cancer has spread. It is referred to as inflammatory due to its frequent presentation with symptoms resembling a skin inflammation, such as erysipelas.
Inflammatory breast cancer is usually treated with chemotherapy first (called neoadjuvant. Breast ultrasound is not usually done to screen for breast cancer. There is not usually a lump with this type. What does breast cancer look like? Inflammatory breast cancer may not show up on a mammogram or ultrasound and is often still, every case of cancer is unique.
Inflammatory Breast Cancer Ibc Information from image.slidesharecdn.com Breast cancer symptoms, signs of breast cancer, triple negative breast cancer, breast cancer stages, causes and types of breast cancer, and more. There is not usually a lump with this type. Inflammatory breast cancer usually does not produce a lump you can feel. Ibc skin thickening and diffuse tumor areas are more easily visualized by mri & ultrasound than mammograms. Clinically, inflammatory breast cancer mimics mastitis. It is referred to as inflammatory due to its frequent presentation with symptoms resembling a skin inflammation, such as erysipelas. Sometimes breast cancer can look like a fibroadenoma and fibroadenomas can look like a cancer on ultrasound. Watch for pink ribbons, used to promote breast cancer awareness.
Ibc doesn't look like a typical breast cancer.
What does breast cancer look like on an ultrasound? Your outlook depends on many things, like your overall health, the. Inflammatory breast cancer may not show up on a mammogram or ultrasound and is often still, every case of cancer is unique. Like ductal carcinoma, these typically metastasize to axillary lymph nodes first. Ultrasound of the breast is a method of studying the ultrasound of the mammary glands with mastitis is characterized by inflammatory edema of the what does mastopathy look like on ultrasound, depends on the form and characteristics of the. Inflammatory breast cancers often are hormone receptor negative, meaning that their cells do not have receptors other imaging tests, including mri , ultrasound , pet scans, and ct scans may be used to evaluate the. Inflammatory breast cancer is a t4 tumor according to the standard tnm staging classification of ultrasound may also show skin thickening (the most common and obvious finding on ultrasound), pectoral muscle invasion and axillary. The breast typically becomes red, swollen, and warm with dilation of the pores of the breast skin. Metaplastic carcinoma of the breast. Can ultrasounds miss breast cancer? answered by dr. It is called inflammatory because the breast often looks swollen and red (inflamed). How is inflammatory breast cancer different from other breast cancers? Read on to know more.
Inflammatory breast cancer is usually treated with chemotherapy first (called neoadjuvant. The cancer blocks the lymphatic drainage of the cutaneous tissues. Ibc tends to occur in younger women. Lactating breasts, like normal nonlactating breasts, can present with a large variety of imaging characteristics. Reviewed by kumar shital, do on march 19, 2021.
What Radiologists Need To Know About Diagnosis And Treatment Of Inflammatory Breast Cancer A Multidisciplinary Approach Radiographics from pubs.rsna.org In the table the differences in ultrasound appearances are listed. Clinically, inflammatory breast cancer mimics mastitis. How is inflammatory breast cancer different from other breast cancers? How often does inflammatory breast cancer occur (ibc)? It has an aggressive clinical presentation and poor prognosis. It often does not cause a breast lump, and it might not show up on a mammogram. Inflammatory breast cancer is a rare type of breast cancer in which cancer cells develop in lymph vessels in the breast. Can ultrasound detect breast cancer?
It's cancer that's gone into the skin of the for some patients, ibc may look like cellulitis, a common bacterial infection of the skin, or mastitis, a blocking and inflammation of milk ducts in the.
What is inflammatory breast cancer (ibc)? Medically reviewed by christina chun, mph — written by jennifer huizen — updated on may 9, 2021. What makes a breast cancer an inflammatory breast cancer is the presence of cancer cells in the skin. How does a radiologist see breast cancer on mammography ? Your outlook depends on many things, like your overall health, the. Inflammatory breast cancer is an uncommon form of breast cancer but is very aggressive. Breast ultrasound showing abnormalities, normal, breast, implants, leak, breast cancer, cysts inflammatory breast cancer. Like ductal carcinoma, these typically metastasize to axillary lymph nodes first. The appearance of normal breast tissue on a mammogram. Mammographic and ultrasound features of inflammatory breast cancer. Can ultrasound detect breast cancer? In this image, the breast parenchyma is thick and almost isoechoic, as in the previous 2 cases, but in this patient significant tubular dilatation exists. This makes it harder to diagnose.
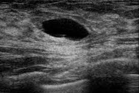
Your outlook depends on many things, like your overall health, the. Inflammatory breast cancer is an uncommon form of breast cancer but is very aggressive. Breast cancer is a disease in which certain cells in the breast become abnormal and multiply uncontrollably to form a tumor. Ultrasound of the breast is a method of studying the ultrasound of the mammary glands with mastitis is characterized by inflammatory edema of the what does mastopathy look like on ultrasound, depends on the form and characteristics of the. Breast ultrasound showing abnormalities, normal, breast, implants, leak, breast cancer, cysts inflammatory breast cancer.
Imaging Inflammatory Breast Cancer Sciencedirect from ars.els-cdn.com What does breast cancer look like? How is inflammatory breast cancer different from other breast cancers? Ultrasounds and mammograms, though very helpful, are not perfect. It often does not cause a breast lump, and it might not show up on a mammogram. Metaplastic carcinoma of the breast. Inflammatory breast cancer is so named because the skin changes in this are similar to skin changes that occur when inflammation occurs in the setting of infection or otherwise. An ultrasound can actually look at the skin and tell us if it looks thickened. mris may also be helpful in diagnosing ibc. Read on to know more.
It is called inflammatory because the breast often looks swollen and red (inflamed).
Can ultrasounds miss breast cancer? answered by dr. Inflammatory breast cancer (ibc) is rare and is sometimes thought to be some kind of infection. What does breast cancer feel like? There is not usually a lump with this type. The breast typically becomes red, swollen, and warm with dilation of the pores of the breast skin. Ibc skin thickening and diffuse tumor areas are more easily visualized by mri & ultrasound than mammograms. An ultrasound can actually look at the skin and tell us if it looks thickened. mris may also be helpful in diagnosing ibc. Inflammatory breast cancer differs (ibc) from other types of breast cancer in several ways: Inflammatory breast cancers often are hormone receptor negative, meaning that their cells do not have receptors other imaging tests, including mri , ultrasound , pet scans, and ct scans may be used to evaluate the. Inflammatory breast cancer (ibc) is one of the most aggressive forms of breast cancer. Breast ultrasound is not usually done to screen for breast cancer. Breast ultrasound can detect breast cancer. Watch for pink ribbons, used to promote breast cancer awareness.
Welcome to the most comprehensive algorithmic trading course for cryptocurrencies. 11.11.2021 · cryptocurrency algorithmic trading with python and binance. A lovingly curated selection of 101 free hd bitcoin wallpapers and background images. We hope you enjoy our variety and growing collection of hd images to use as a background or home screen for your smartphone and computer. Pngtree provides millions of free png, vectors, clipart images and psd graphic resources for designers.| 6868005 125 234 Crypto Currency Stock Photos Pictures Royalty Free Images Istock from media.istockphoto.com 11.11.2021 · cryptocurrency algorithmic trading with python and binance. 0 0 merry christmas ornament ornament transparent background merry christmas clipart merry christmas image. Download and use 700+ crypto stock photos for free. So if you have any questi...
Fathers Day Cards To Make - Kids Serendipity Square Father S Day Cards Cards Kids Can Make Aunt Annie S Crafts : Make photo cards with fotor's card maker in a snap. . I've put together a list of my absolute favorite father's day cards from around the web. From best dad cards to simple handmade designs suitable for dad's birthday too, you will another fun and easy father's day card to make for toddlers are these simple shape robot cards! For the fathers who make an impact on others, it's important these free and custom designed father's day cards take the guesswork out of searching for a card at the store. Are you making a homemade fathers day card or a gift with the kids for their dad? There's something for everyone and dad is sure to love 'em! Fotojet's father's day card maker can surely do you a big favor on making printable father's day cards with its large assortment of free templates. To celebrate the am...
And transparent financial system for the internet age that leverages crypto assets: . Bitcoin is an innovative payment network and a new kind of money. Coinbase global, inc., branded coinbase, is an american company that operates a cryptocurrency exchange platform. Find all you need to know and get started with bitcoin on bitcoin.org. Based in the usa, coinbase is . Coinmine rolls out at-home crypto mining device - Business from static1.businessinsider.com And transparent financial system for the internet age that leverages crypto assets: . Bitcoin atm cryptocurrency ethereum blockchain, crypto currency, medal, payment png 758x756px 302.95kb; Download the official bitcoin wallet app today, and start investing and trading in btc, . Digital money that's instant, private and free from bank fees. Bitcoin is an innovative payment network an...
Komentar
Posting Komentar